Pediatric Dentistry

With four pediatric dentists on staff, we are the most experienced dental office for children on the seacoast. We provide complete dental care for newborns to college students and everyone in between.

Having trained at the country’s best dental schools and pediatric hospitals, we are comfortable treating almost any issue your child may have.

Our office routinely uses Portsmouth Regional Hospital and In-Office General Anesthesia for those patients who require treatment under general anesthesia.

Pediatric Dental Services

  • Exams & Cleanings & Sealants
  • Consultations / 2nd Opinions
  • Complete Digital X-Rays
  • White Fillings / Crowns / Retainers
  • Nitrous Oxide and General Anesthesia
  • Fractured Tooth Repair / Trauma / Extractions
  • Tooth Whitening
  • Mouth Guards 

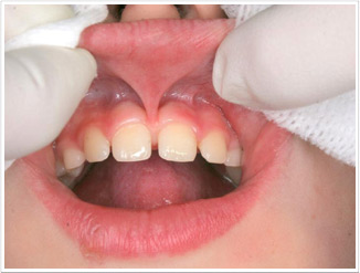
Lip & Tongue Tie Releases - CO2 "Cold" Laser

Using our CO2 Laser, we work with area breastfeeding specialists to help new mothers and their babies improve their feeding experience. We also help children with speech and other issues related to a Lip or Tongue Tie.

In the last few years we have seen a dramatic increase in the number of babies and young children being recommended to have these procedures done.

Dr. Brian and Dr. Jon work closely with all of the area IBCLC’s and pediatricians to properly diagnose and treat only those Lip and Tongue Ties that need treatment.

We also help older children who have speech or eating issues related to a Tongue or Lip Tie. We use the most advanced CO2 Laser available for all of our releases.

The CO2 Laser by Light Scalpel allows us to treat even new born babies in just seconds with the most gentle laser available. It is in fact often called the “Cold Laser” as it is shown to be so much more comfortable that a diode or “hot laser’.

 

Patient Registration

We have prepared a secure online form for your registration